African swine fever virus
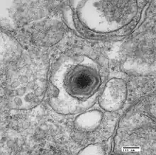
Electron micrograph of a virus particle
Virus classification Edit this classification
(unranked): Virus
Realm: Varidnaviria
Kingdom: Bamfordvirae
Phylum: Nucleocytoviricota
Class: Pokkesviricetes
Order: Asfuvirales
Family: Asfarviridae
Genus: Asfivirus
Species:
African swine fever virus
Reddening of the ears is a common sign of African swine fever in pigs.

African swine fever virus (ASFV) is a large, double-stranded DNA virus in the Asfarviridae family.[1] It is the causative agent of African swine fever (ASF). The virus causes a hemorrhagic fever with high mortality rates in domestic pigs; some isolates can cause death of animals as quickly as a week after infection. It persistently infects its natural hosts, warthogs, bushpigs, and soft ticks of the genus Ornithodoros, which likely act as a vector, with no disease signs.[2] It does not cause disease in humans.[3][4] ASFV is endemic to sub-Saharan Africa and exists in the wild through a cycle of infection between ticks and wild pigs, bushpigs, and warthogs. The disease was first described after European settlers brought pigs into areas endemic with ASFV, and as such, is an example of an emerging infectious disease.

ASFV replicates in the cytoplasm of infected cells.[1] It is the only virus with a double-stranded DNA genome known to be transmitted by arthropods.[5]

Virology

Diagram of ASFV virion

ASFV is a large (175–215 nm),[6] icosahedral, double-stranded DNA virus with a linear genome of 189 kilobases containing more than 180 genes.[7] The number of genes differs slightly among different isolates of the virus.[8] ASFV has similarities to the other large DNA viruses, e.g., poxvirus, iridovirus, and mimivirus. In common with other viral hemorrhagic fevers, the main target cells for replication are those of monocyte, macrophage lineage. Entry of the virus into the host cell is receptor-mediated, but the precise mechanism of endocytosis is presently unclear.[9]

The virus encodes enzymes required for replication and transcription of its genome, including elements of a base excision repair system, structural proteins, and many proteins that are not essential for replication in cells, but instead have roles in virus survival and transmission in its hosts. Virus replication takes place in perinuclear factory areas. It is a highly orchestrated process with at least four stages of transcription—immediate-early, early, intermediate, and late. The majority of replication and assembly occurs in discrete, perinuclear regions of the cell called virus factories, and finally progeny virions are transported to the plasma membrane along microtubules where they bud out or are propelled away along actin projections to infect new cells. As the virus progresses through its lifecycle, most if not all of the host cell's organelles are modified, adapted, or in some cases destroyed.

Macrophage cell in early stages of infection with ASFV

Assembly of the icosahedral capsid occurs on modified membranes from the endoplasmic reticulum. Products from proteolytically processed polyproteins form the core shell between the internal membrane and the nucleoprotein core. An additional outer membrane is gained as particles bud from the plasma membrane. The virus encodes proteins that inhibit signalling pathways in infected macrophages and thus modulate transcriptional activation of immune response genes. In addition, the virus encodes proteins which inhibit apoptosis of infected cells to facilitate production of progeny virions. Viral membrane proteins with similarity to cellular adhesion proteins modulate interaction of virus-infected cells and extracellular virions with host components.[1]

Genotypes

Based on sequence variation in the C-terminal region of the B646L gene encoding the major capsid protein p72, 22 ASFV genotypes (I–XXIII) have been identified.[10] All ASFV p72 genotypes have been circulating in eastern and southern Africa. Genotype I has been circulating in Europe, South America, the Caribbean, and western Africa. Genotype VIII is confined to four East African countries.

Evolution

The virus is thought to be derived from a virus of soft tick (genus Ornithodoros) that infects wild swine, including giant forest hogs (Hylochoerus meinertzhageni), warthogs (Phacochoerus africanus), and bushpigs (Potamochoerus porcus).[11] In these wild hosts, infection is generally asymptomatic. This virus appears to have evolved around 1700 AD.

This date is corroborated by the historical record. Pigs were initially domesticated in North Africa and Eurasia.[12] They were introduced into southern Africa from Europe and the Far East by the Portuguese (300 years ago) and Chinese (600 years ago), respectively.[13] At the end of the 19th century, the extensive pig industry in the native region of ASFV (Kenya) started after massive losses of cattle due to a rinderpest outbreak. Pigs were imported on a massive scale for breeding by colonizers from Seychelles in 1904 and from England in 1905. Pig farming was free-range at that time. The first outbreak of ASF was reported in 1907.

Taxonomy

ASFV has no known close relatives. It is the only species in the genus Asfivirus, family Asfarviridae, and order Asfuvirales. Each of these three taxa is at least partly named after ASFV.[14]

Signs and symptoms

The swelling around the kidneys and the muscle hemorrhages visible here are typical of pigs with African swine fever.

In the acute form of the disease caused by highly virulent strains, pigs may develop a high fever, but show no other noticeable symptoms for the first few days.[15] They then gradually lose their appetites and become depressed. In white-skinned pigs, the extremities turn blueish-purple and hemorrhages become apparent on the ears and abdomen. Groups of infected pigs lie huddled together shivering, breathing abnormally, and sometimes coughing. If forced to stand, they appear unsteady on their legs; this is called congenital tremor type A-I in newborn piglets.[16] Within a few days of infection, they enter a comatose state and then die. In pregnant sows, spontaneous abortions may occur.[17]

In milder infections, affected pigs lose weight, become thin, and develop signs of pneumonia, skin ulcers, and swollen joints.[18]

Diagnosis

The clinical symptoms of ASFV infection are very similar to classical swine fever, and the two diseases normally have to be distinguished by laboratory diagnosis. This diagnosis is usually performed by an ELISA, real time PCR or isolation of the virus from either the blood, lymph nodes, spleen, or serum of an infected pig.[18]

Spread

A multi-language sign in Germany telling people to dispose of waste food in closed waste bins to prevent boars eating it

The virus can be spread by ticks, but also by swine eating pork products that contain the virus. Biosecurity measures are essential for prevention and control of African swine fever. Disinfection procedures are an important asset of the mitigation phase. Laboratory tests have been conducted to assess the efficacy of chemical products and commercial disinfectants against African swine fever.[19] The National Pig Association, a UK industry body, states[20] that the virus can also be transmitted by direct or indirect contact with infected pigs, faeces or body fluids. As the virus may survive 11 days in pig faeces, and months or years in pork products, the association advises strict biosecurity measures for pig farms including a three-day quarantine on entering the UK, and avoiding both pigs and areas where wild boar are found.

Vaccine research

Vietnam successfully produced the first vaccine against African swine fever on June 1, 2022.[21] In the United States, an experimental vaccine has been in development (since January 22, 2020) against the 2007 Georgia isolate currently circulating, which is attenuated by deletion of the viral I177L gene.[22] This experimental vaccine was licensed as a vaccine candidate as of January 3, 2023.[23][24]

History

The first outbreak was retrospectively recognized as having occurred in 1907 after ASF was first described in 1921 in Kenya.[25] The disease remained restricted to Africa until 1957, when it was reported in Lisbon, Portugal. A further outbreak occurred in Portugal in 1960. Subsequent to these initial introductions, the disease became established in the Iberian peninsula, and sporadic outbreaks occurred in France, Belgium, and other European countries during the 1980s. Both Spain and Portugal had managed to eradicate the disease by the mid-1990s through a slaughter policy.[26]

ASFV crossed the Atlantic Ocean, and outbreaks were reported in some Caribbean islands, including Hispaniola (Dominican Republic and Haiti).[27] Resultantly US Customs and Border Protection is on high alert to prevent any spread to the US, which would inflict billions of dollars of damage to the pork industry in the country.[27] Major outbreaks of ASF in Africa are regularly reported to the World Organisation for Animal Health (previously called L'office international des épizooties).

In 2018 the virus spread to Asia, affecting more than 10 percent of the total pig population in several countries, leading to severe economic losses in the pig sector.[28]

Cuba

In 1971, an outbreak of the disease occurred in Cuba, resulting in the slaughter of 500,000 pigs to prevent a nationwide animal epidemic. The outbreak was labeled the "most alarming event" of 1971 by the United Nations Food and Agricultural Organization.

Six years after the event, the newspaper Newsday, citing untraceable sources,[29][30] claimed that anti-Castro saboteurs, with at least the tacit backing of U.S. Central Intelligence Agency officials, allegedly introduced African swine fever virus into Cuba six weeks before the outbreak in 1971, to destabilize the Cuban economy and encourage domestic opposition to Fidel Castro. The virus was allegedly delivered to the operatives from an army base in the Panama Canal Zone by an unnamed U.S. intelligence source.[31][32]

Western Europe

A hunter takes a blood sample for ASP testing of a wild boar he killed outside Kaiserslautern, Germany, October 2, 2018.

ASFV first occurred in Europe in 1957, when it was introduced in Portugal. From there, it spread to Spain and France. Although concerted efforts to eradicate ASFV were undertaken, such as widespread culling and the construction of modern farming facilities, the disease was only eradicated in the 1990s.[33]

In September 2018, an outbreak occurred in wild boars in southern Belgium.[34][35] Professional observers suspect that importation of wild boars from Eastern European countries by game hunters was the origin of the virus.[36] By 4 October, 32 wild boars had tested positive for the virus.[37] For control of the outbreak, 4,000 domestic pigs were slaughtered preventively in the Gaume region, and the forest was declared off-limits for recreation.

In September 2020, the German agriculture minister confirmed on a press conference that the African swine fever virus reached Germany. The virus was discovered on a wild boar carcass, which the test results confirmed all as positive results. The dead boar was located in the district of Spree-Neisse, Brandenburg, just a few kilometres from the Polish border. The dead animal had been there for quite a while according to the Friedrich-Loeffler Institute, which was the agency hired for testing. Following these events the German government tried to lobby China and other Asian countries to allow West German states to keep exporting to Asia, while barring their own eastern states from doing so; the Asian countries ultimately refused these proposals.[38][39]

In January 2022 an outbreak occurred in northern Italy, detected on some dead wild boars in Liguria and in Piedmont.[40]

Eastern and Northern Europe

An outbreak occurred at the beginning of 2007 in Georgia, and subsequently spread to Armenia, Azerbaijan, Iran, Russia, and Belarus, raising concerns that ASFV may spread further geographically and have negative economic effects on the swine industry.[26][41][42]

Evolution of African swine fever across the world from 1 January 2018 to 22 September 2018 in domestic swine (circles) and wild boar (triangles)

African swine fever had become endemic in the Russian Federation since spreading into the North Caucasus in November 2007, most likely through movements of infected wild boar from Georgia to Chechnya, said a 2013 report by the Food and Agriculture Organization, a United Nations agency.[43] The report showed how the disease had spread north from the Caucasus to other parts of the country where pig production was more concentrated the Central Federal District (home to 28.8% of Russia's pigs) and the Volga Federal District (with 25.4% of the national herd) and northwest towards Ukraine, Belarus, Poland and the Baltic nations. In Russia, the report added, the disease was 'on its way to becoming endemic in Tver oblast' (about 106 km north of Moscow—and about 500 km east of Russia's littoral neighbours on the Baltic. Among the vectors for the spread in Russia of African swine fever virus was the 'distribution' of 'infected pig products' outside affected (quarantined and trade restricted) areas, travelling large distances (thousands of kilometers) within the country.

"Wholesale buyers, particularly the military food supply system, hav[ing] been implicated multiple times in the illegal distribution of contaminated meat" were vectors for the virus's spread, said the Food and Agriculture Organization report—and evidence of that was "repeated outbreaks in Leningrad oblast".[44] The report warned that "countries immediately bordering the Russian Federation, particularly Ukraine, Moldova, Kazakhstan, and Latvia, are most vulnerable to [African swine fever] introduction and endemic establishment, largely because the biosecurity of their pig sector is predominantly low. Preventing the spread of [African swine fever] into Ukraine is particularly critical for the whole pig production sector in Europe. Given the worrisome developments in the Russian Federation, European countries have to be alert. They must be ready to prevent and to react effectively to [African swine fever] introductions into their territories for many years to come...". To stop the virus's spread, "the current scenario in the Russian Federation suggests that [prevention] should be particularly stressed at the often informal backyard level and should involve not just pig keepers, but all actors along the whole value chain—butchers, middlemen, slaughterhouses, etc. … They need to be aware of how to prevent and recognize the disease, and must understand the importance of reporting outbreaks to the national authorities … It is particularly important that [African swine fever]-free areas remain free by preventing the [re]introduction of the disease and by swiftly responding to it when it occurs".

Since around 2007 to August 31, 2018, 1367 cases of ASF of domestic pigs or wild pigs were reported by veterinary department of the Rosselkhoznadzor (Russian: Россельхознадзор), a Russian federal agency that supervises over agriculture, and state media.[45][46] According to official report the central and south districts were among most affected by the disease (with several occasions on the east).[45] Many regions effectively established local quarantines some of which was ended later.[47][48][49][50]

In August 2012, an outbreak of African swine fever was reported in Ukraine.[51]

In June 2013, an outbreak was reported in Belarus.[52]

In January 2014, authorities announced the presence of African swine fever in Lithuania and Poland,[53] in June 2014 in Latvia, and in July 2015 in Estonia.[54]

Estonia in July 2015 recorded its first case of African swine fever in farmed pigs in Valgamaa on the country's border with Latvia. Another case was reported same day in Viljandi county, which also borders Latvia. All the pigs were culled and their carcasses incinerated.[55] Less than a month later, almost 15,000 farmed pigs had been culled and the country was "struggling to get rid of hundreds of tons of carcasses". The death toll was "expected to rise".[56]

Latvia in January 2017 declared African swine fever emergency in relation to outbreaks in three regions, including a pig farm in Krimulda region, that resulted in a cull of around 5,000 sows and piglets by using gas.[57][58] In February, another massive pig cull was required, after an industrial-scale farm of the same company in Salaspils region was found infected, leading to a cull of about 10,000 pigs.[59]

In June 2017, the Czech Republic recorded its historically first case of African swine fever.[60] The veterinary administration of Zlin prevented the spread of the ASF infection by confining the contaminated zone via odor fences. Odor fences with a total length of 44.5 km were effective in keeping wild boar inside the health zone.

In 2018, Romania experienced a nationwide African swine fever pandemic, which prompted the slaughter of most farm pigs.[61]

In August 2018, authorities announced the first outbreak of African swine fever in Bulgaria.[62] By July 2019 five Bulgarian pig farms had had outbreaks of African swine fever.[63]

In July 2019, authorities announced the first outbreak of African swine fever in Slovakia.[64]

In February 2020, authorities announced the first outbreak of African swine fever in a restricted area of Northern Greece.[65]

In January 2021, Romania suffered again from a new breakout of the African swine fever virus that started in the Brăila County.[66]

In January 2022, ASF cases were reported in Northern Italy, Latvia and Hungary.[67][68][69]

In September 2023, one case was reported from Sweden.[70]

2018–2020 African swine fever panzootic

China and East Asia

In August 2018, China reported the first African swine fever outbreak in Liaoning province, which was also the first reported case in East Asia.[71] By September 1, 2018, the country had culled more than 38,000 hogs.[72] Since the week of September 10, 2018, China has blocked transports of live pigs and pig products in a large part of the country[73] to avoid spread beyond the 6 provinces where the virus was then confirmed. By the end of 2018, the outbreaks had been reported in 23 provinces and municipalities across China.[74] On April 25, 2019, the virus was reported to have spread to every region of China, as well as parts of Southeast Asia, including Cambodia, Laos, Thailand and Vietnam.[75] The Chinese pig population was reported to have declined by almost 100 million compared with the previous year, driving European pork prices to reach a six-year high.[76]

Ze Chen, Shan Gao, and co-workers from Nankai University detected ASFV in Dermacentor (hard ticks) from sheep and bovines using small RNA sequencing. This 235-bp segment had an identity of 99% to a 235-bp DNA segment of ASFV and contained three single nucleotide mutations (C38T, C76T and A108C). C38T, resulting in a single amino-acid mutation G66D, suggests the existence of a new ASFV strain, which is different from all reported ASFV strains in the NCBI Genbank database and the ASFV strain (GenBank: MH713612.1) reported in China in 2018.[77] In December 2019, China banned imports of pigs and wild boars from Indonesia because of African swine fever outbreaks that reached 392 on 17 December.[78]

On September 2019, South Korea confirmed a second case of African swine fever at a pig farm in Yeoncheon, where 4,700 pigs had been raised, a day after reporting its first-ever outbreak of the virus.[79] As of 31 October 2019, the virus has been detected in domestic pigs in nine places in Gyeonggi-do and five places in Incheon City. It was also confirmed in 18 wild boars from Gangwon-do and Gyeonggi-do, inside or near the Civilian Control Zone.[80]

The South Korean government set a buffer zone to separate affected areas from the rest of the country and instituted a compensation scheme for farms within 10 km (6.2 mi) of infected farms.[80]

Between December 2018 and June 2019, ten pig carcasses infected with ASF washed up on the shore in Kinmen (Quemoy) county. In June 2019, the government temporarily halted export of pigs and pork products from Kinmen county after two infected pig carcasses were discovered on the shore. Nearby farms were inspected by veterinarians and no live pigs tested positive for ASF.[81] On February 3, 2020, another infected pig carcass was discovered on the shore of Lieyu (Lesser Kinmen), bringing the total number of infected pig carcasses found on Kinmen county shores to eleven.[82][83] In April 2020, a twelfth pig carcass confirmed to be carrying African swine fever virus washed up on the shore of Lieyu (Lesser Kinmen). After testing, no outbreak of the disease was detected in the seven active hog farms on the island.[82][84] On May 29, China's Ministry of Agriculture and Rural Affairs said on Friday it had found a new outbreak of African swine fever near the city of Lanzhou in northwestern Gansu province.[85]

On April 9, 2019, a pig carcass with ASF was discovered on the shore of Nangan in the Matsu Islands (Lienchiang County) leading to a week-long ban on the transport of pigs from the county.[86]

Southeast Asia

The Philippines' Department of Agriculture started a probe in August 2019 regarding incidents of hog deaths in towns in Rizal and Bulacan for suspected African swine fever cases. The department ordered the culling of pigs within a 1 km (0.62 mi) radius of affected farms.[87]

The first case of African swine fever in the Philippines was confirmed on 9 September 2019 by the country's agriculture department.[88] The department sent 20 blood samples to the United Kingdom for testing, with 14 samples testing positive for African swine fever virus. At the time of the confirmation, though, the department has stated that the disease has not reached epidemic levels yet and is still assessing its severity.[87]

On 16 September 2019, the Bureau of Animal Industry's Director Ronnie Domingo confirmed that the status of the virus in the country is in an outbreak level in Rizal, Bulacan, Quezon City, and also confirmed across the provinces of Pampanga and Pangasinan in the end of September.

Vietnam confirmed its first case of African swine fever on 19 February 2019. As of 31 October 2019, all 63 provinces / municipalities have reported outbreaks and more than 5,700,000 pigs have been culled.[80]

The Vietnamese government acted to limit movement of pigs and pig products and implemented measures to prevent, promptly detect and strictly handle cases of smuggling, illegal transportation, and trafficking of animals and animal products—especially of pigs and pig products—into the country.[80]

ASF was reported on farms near the capital city, Dili in East Timor from 9 September 2019. On 30 September 2019, it was reported that 405 animals were killed or culled. [89] By the end of October 2019, a total of 100 outbreaks in smallholder pig farms had been recorded in Dili.[80]

In Sabah, Malaysia, outbreaks of ASF had been detected in domestic pigs by February 2021.[90] However, large numbers of dead wild pigs had been reported dead since January,[91] and over a hundred Bornean bearded pigs had been found dead as of March 2021; the Sabah Wildlife Department later stated that it was probably due to ASF.[92] Other Southeast Asian pig species are thought to also be vulnerable including the (Sulawesi) Celebes warty pig.[93]

India

On 29 April 2020, India reported the first African Swine Fever disease outbreak in the state of Assam and Arunachal Pradesh. It has been said that the disease is being spread via transboundary transmission from China. According to the data available with the veterinary department, over 15,000 pigs has been recorded dead from the 9 affected districts so far in Assam viz. Golaghat, Majuli, Dibrugarh, Kamrup, Dhemaji, Biswanath, North Lakhimpur, Sivasagar, Jorhat. Sale and consumption of pork meat have been banned in the affected districts of Assam. On 4 July, the test results of certain pig carcass samples came in as a confirmation for African Swine Fever in Bokakhat subdivision of Golaghat. The pig mortality reached around 800 numbers in Bokakhat. It is suspected that the infection came into the region from Kamargaon which is located near Bokakhat.

Historical theories

The appearance of ASF outside Africa at about the same time as the emergence of AIDS led to some interest in whether the two were related, and a report appeared in The Lancet supporting this in 1986.[94] However, the realization that the human immunodeficiency virus (HIV) causes AIDS discredited any potential connection with ASF.

See also

References

  1. 1 2 3 Dixon; et al. (2008). "African Swine Fever Virus". Animal Viruses: Molecular Biology. Caister Academic Press. ISBN 978-1-904455-22-6.
  2. Denyer, M. S.; Wilkinson, P. J. (1998). "African Swine Fever". Encyclopedia of Immunology. p. 54. doi:10.1006/rwei.1999.0015. ISBN 9780122267659. S2CID 69033207.
  3. "African swine fever". European Food Safety Authority. Retrieved 26 April 2019.
  4. Smriti Mallapaty (25 April 2019). "Spread of deadly pig virus in China hastens vaccine research". Nature. 569 (7754): 13–14. Bibcode:2019Natur.569...13M. doi:10.1038/d41586-019-01269-5. PMID 31040406.
  5. Gaudreault, Natasha N.; Madden, Daniel W.; Wilson, William C.; Trujillo, Jessie D.; Richt, Juergen A. (2020). "African Swine Fever Virus: An Emerging DNA Arbovirus". Frontiers in Veterinary Science. 7: 215. doi:10.3389/fvets.2020.00215. PMC 7237725. PMID 32478103.
  6. "African Swine Fever Virus - an overview | ScienceDirect Topics".
  7. Mazur-Panasiuk, Natalia; Woźniakowski, Grzegorz; Niemczuk, Krzysztof (14 March 2019). "The first complete genomic sequences of African swine fever virus isolated in Poland". Scientific Reports. 9 (1): 4556. Bibcode:2019NatSR...9.4556M. doi:10.1038/s41598-018-36823-0. ISSN 2045-2322. PMC 6418159. PMID 30872594.
  8. Dixon, L.K.; Chapman, D.A.G.; Netherton, C.L.; Upton, C. (2013). "African swine fever virus replication and genomics". Virus Research. 173 (1): 3–14. doi:10.1016/j.virusres.2012.10.020. PMID 23142553.
  9. Netherton, C.L.; Wileman, T.E. (2013). "African swine fever virus organelle rearrangements". Virus Research. 173 (1): 76–86. doi:10.1016/j.virusres.2012.12.014. PMID 23291273.
  10. Leblanc, N.; Cortey, M.; Fernandez Pinero, J.; Gallardo, C.; Masembe, C.; Okurut, A. R.; Heath, L.; Van Heerden, J.; Sánchez-Vizcaino, J. M.; Ståhl, K.; Belák, S. (2012). "Development of a Suspension Microarray for the Genotyping of African Swine Fever Virus Targeting the SNPs in the C-Terminal End of the p72 Gene Region of the Genome". Transboundary and Emerging Diseases. 60 (4): 378–383. doi:10.1111/j.1865-1682.2012.01359.x. PMID 22776009.
  11. Michaud, V; Randriamparany, T; Albina, E (2013). "Comprehensive phylogenetic reconstructions of African swine fever virus: proposal for a new classification and molecular dating of the virus". PLOS ONE. 8 (7): e69662. Bibcode:2013PLoSO...869662M. doi:10.1371/journal.pone.0069662. PMC 3723844. PMID 23936068.
  12. Gifford-Gonzalez, D; Hanotte, O (2011). "Domesticating Animals in Africa: Implications of Genetic and Archaeological Findings". J World Prehist. 24: 1–23. doi:10.1007/s10963-010-9042-2.
  13. Levathes LE (1994) When China ruled the seas: The treasure fleet of the Dragon Throne, 1405–1433. New York: Oxford University Press
  14. "Virus Taxonomy: 2019 Release". talk.ictvonline.org. International Committee on Taxonomy of Viruses. Retrieved 2 May 2020.
  15. Howey; et al. (2013). "Pathogenesis of highly virulent African swine fever virus in domestic pigs exposed via intraoropharyngeal, intranasopharyngeal, and intramuscular inoculation, and by direct contact with infected pigs". Virus Research. 178 (2): 328–339. doi:10.1016/j.virusres.2013.09.024. PMID 24076499.
  16. Harding, J. D.; Done, J. T.; Darbyshire, J. H. (1 October 1966). "Congenital tremors in piglets and their relation to swine fever". The Veterinary Record. 79 (14): 388–390. doi:10.1136/vr.79.14.388. ISSN 0042-4900. PMID 6008428. S2CID 7834708.
  17. Cuéllar Sáenz, Jerson Andrés (28 January 2022). "Abortion in sows: causes and prevention strategies". Veterinaria Digital. Retrieved 22 February 2023.
  18. 1 2 "African Swine Fever (ASF)". PigSite. Archived from the original on 14 June 2018. Retrieved 28 January 2010.
  19. Beato MS, D’Errico F, Iscaro C, Petrini S, Giammarioli M, Feliziani F (24 June 2022). "Disinfectants against African Swine Fever: An Updated Review". Viruses. MDPI AG. 14 (7): 1384. doi:10.3390/v14071384. ISSN 1999-4915. PMC 9315964. PMID 35891365.
  20. "African Swine Fever".
  21. "Vietnam successfully produces vaccine against African swine fever". Vietnam Plus. 1 June 2022. Retrieved 2 June 2022.
  22. Manuel V. Borca; Elizabeth Ramirez-Medina; Ediane Silva; et al. (2020). "Development of a highly effective African swine fever virus vaccine by deletion of the I177L gene results in sterile immunity against the current epidemic Eurasia strain". Journal of Virology. 94 (7). doi:10.1128/JVI.02017-19. PMC 7081903. PMID 31969432.
  23. Deutschmann, Paul; Tessa Carrau; Julia Sehl-Ewer; et al. (2022). "Taking a Promising Vaccine Candidate Further: Efficacy of ASFV-G-ΔMGF after Intramuscular Vaccination of Domestic Pigs and Oral Vaccination of Wild Boar". Pathogens. 11 (9): 996. doi:10.3390/pathogens11090996. PMC 9504512. PMID 36145428.
  24. "Asf vaccine candidate developed by UConn in collaboration with USDA licensed by Zoetis". Feed Navigator. 4 January 2023. Archived from the original on 4 January 2023. Retrieved 4 January 2023.{{cite journal}}: CS1 maint: bot: original URL status unknown (link)
  25. Arzt; et al. (2010). "Agricultural diseases on the move early in the third millennium". Veterinary Pathology. 47 (1): 15–27. doi:10.1177/0300985809354350. PMID 20080480. S2CID 31753926.
  26. 1 2 Costard, S.; Mur, L.; Lubroth, J.; Sanchez-Vizcaino, J.M.; Pfeiffer, D.U. (2013). "Epidemiology of African swine fever virus". Virus Research. 173 (1): 191–197. doi:10.1016/j.virusres.2012.10.030. PMID 23123296.
  27. 1 2 Johnson, Bridget (14 April 2022). "CBP Ag Specialists on Alert for African Swine Fever After Disease Confirmed in Caribbean". HS Today. Retrieved 22 April 2022.
  28. "FAO - News Article: One year on, close to 5 million pigs lost to Asia's swine fever outbreak". www.fao.org. 9 August 2019.
  29. Zilinskas, R. A. (1999). "Cuban Allegations of Biological Warfare by the United States: Assessing the Evidence". Critical Reviews in Microbiology. 25 (3): 173–227. doi:10.1080/10408419991299202. PMID 10524329.
  30. Wheelis, M. (2004). "A Short History of Biological Warfare and Weapons". The Implementation of Legally Binding Measures to Strengthen the Biological and Toxin Weapons Convention. NATO Science Series II: Mathematics, Physics and Chemistry. Vol. 150. pp. 15–68. doi:10.1007/1-4020-2098-8_3. ISBN 978-1-4020-2096-4.
  31. "CIA Link to Cuban Pig Virus Reported". San Francisco Chronicle. 10 January 1977.
  32. Zinn, Howard (1980). A People's History of the United States. United States: Harper & Row. ISBN 978-0-06-014803-4.
  33. Devlin, Hannah; Davies, Christian (3 September 2018). "'It's not if, it's when': the deadly pig disease spreading around the world". The Guardian. Retrieved 3 September 2018.
  34. Daily newspaper "L'Avenir du Luxembourg", 15 September 2018.
  35. Europe's farmers on red alert as deadly African swine fever spreads to Belgium.
  36. Different testimonies on RTBF TV channel, end September 2018.
  37. Radio channel RTBF "La Première", 4 October 2018.
  38. "ASF confirmed in wild boar in Germany". 10 September 2020. Retrieved 14 September 2020.
  39. "China bans German pork imports after African swine fever case". Reuters. 12 September 2020. Retrieved 14 September 2020.
  40. "Case of African swine fever confirmed in northern Italy". 8 January 2022.
  41. Gogin, A.; Gerasimov, V.; Malogolovkin, A.; Kolbasov, D. (2013). "African swine fever in the North Caucasus region and the Russian Federation in years 2007–2012". Virus Research. 173 (1): 198–203. doi:10.1016/j.virusres.2012.12.007. PMID 23266725.
  42. "Россельхознадзор - Новости". 21 June 2013.
  43. African swine fever in the Russian Federation: risk factors for Europe and beyond, Food and Agriculture Organization, Rome, May 2013. Retrieved: 12 August 2015.
  44. "Уберечь животных вы не сможете". Novayagazeta.ru (in Russian). Retrieved 5 September 2018.
  45. 1 2 "Эпизоотическая ситуация в Российской Федерации 2007-2018: 1367 случаев" (PDF). www.fsvps.ru.
  46. "Вспышки АЧС зарегистрированы в четырех регионах России". Российская газета (in Russian). 18 December 2017. Retrieved 5 September 2018.
  47. "В Омской области снят карантин по африканской чуме свиней". ТАСС. Retrieved 5 September 2018.
  48. "В Брянской области сняли карантин по АЧС | Наш Брянск·Ru". news.nashbryansk.ru (in Russian). 15 September 2016. Retrieved 5 September 2018.
  49. "Карантин ввели в Свердловской области из-за вируса АЧС". Известия (in Russian). 1 August 2018. Retrieved 5 September 2018.
  50. "Карантин по АЧС в Воронежской области отменен досрочно". 23 October 2017. Retrieved 5 September 2018.
  51. "Ukraine reports its first outbreak of African swine fever". Bloomberg. 2 August 2012. Retrieved 27 January 2014.
  52. "Russia bans hogs and pork from Belarus on African swine fever". Bloomberg. 8 July 2013. Retrieved 27 January 2014.
  53. Россельхознадзор запретит ввоз свинины из Литвы из-за АЧС в ближайшее время [Rosselkhoznadzor bans the import of pigs from Lithuania immediately on account of ASF] (in Russian). Russia. ITAR-TASS. 24 January 2014. Retrieved 26 January 2014. [...] глава ветеринарно-пищевой службы Литвы Йонас Милюс представил российской стороне факты о том, что у двух диких кабанов на территории страны был выявлен вирус АЧС, который стал причиной их гибели [...]
  54. "Latvia extends emergency zone for African swine fever". terradaily.com. AFP. 22 July 2014. Retrieved 28 July 2014. [...] Latvia on Tuesday declared a state of emergency in a second area of this Baltic EU state as efforts continued to contain an outbreak of deadly African swine fever in its pig population.[...] Straujuma blamed wild boar crossing in from Russia for Latvia's first-ever outbreak of the disease, detected on June 26. In July, 3 farms discovered African swine fever in Estonia. [...]
  55. African swine fever spreads to farmed pigs, 500 animals to be exterminated, Estonian Public Broadcasting, Tallinn, 21 July 2015. Retrieved: 12 August 2015.
  56. Close to 23,000 pigs killed as African swine fever ravages Estonian farms, Estonian Public Broadcasting, Tallinn, 21 July 2015. Retrieved: 12 August 2015.
  57. Farms in three regions have all reported outbreaks., Pork Network, 20 January 2017 Archived 22 March 2017 at the Wayback Machine. Retrieved: 21 March 2017.
  58. Latvia declares African swine fever emergency, Watt Ag Net, 23 January 2017. Retrieved: 21 March 2017.
  59. Another massive pig cull required, Public broadcasting of Latvia, 8 February 2017. Retrieved: 21 March 2017.
  60. ASF first time recorded in Czech republic - official report in Czech. ASF first time recorded in Czech republic - machine translation. The most recent information about the ASF in Czech republic - Czech
  61. Romania battles African swine fever outbreak, DW, 29 August 2018. Retrieved: 3 September 2018
  62. Bulgaria reports its first outbreak of African swine fever, Reuters, 31 August 2018
  63. "Fifth Bulgarian pig farm hit by African swine fever". RTÉ News. 31 July 2019.
  64. [African swine fever diagnosed in Slovakia, The Slovak Spectator, 7 August 2019]
  65. "Greece reports first case of African swine fever". Reuters. 6 February 2020. Retrieved 6 February 2020.
  66. Coman, Florentin (6 January 2021). "Un nou focar de pesta porcină africană în județul Brăila, la începutul anului". Obiectiv Vocea Brăilei (in Romanian).
  67. "African Swine Fever detected in two more European countries | Pig World". 13 January 2022. Retrieved 13 January 2022.
  68. "Hungary reports African swine fever in nine wild boars - OIE". Reuters. 11 January 2022. Retrieved 13 January 2022.
  69. "Italy bans hunting, other activities in regions hit by swine fever". Reuters. 13 January 2022. Retrieved 13 January 2022.
  70. National Veterinary Institute (Sweden) Afrikansk svinpest. Retrieved: 2023-09-07.
  71. China culls 900 pigs after reports of first African swine fever outbreak in country.
  72. "China says has culled over 38,000 hogs due to African swine fever". Channel NewsAsia. Archived from the original on 4 September 2018. Retrieved 3 September 2018.
  73. Pig Progress, overview of ASF outbreaks and transport bans in China Archived 14 September 2018 at the Wayback Machine.
  74. "African swine fever hits huge, foreign-invested Chinese farm". Reuters. 3 January 2019. Retrieved 3 January 2019.
  75. Leisha Santorelli (25 April 2019). "Is China losing the battle against an incurable pig virus?". BBC. Retrieved 26 April 2019.
  76. "Quarter of world's pig population 'to die due to African swine fever'". Guardian. 31 October 2019. Retrieved 16 February 2021.
  77. Chen, Ze; Xu, Xiaofeng; Yang, Xiaojun; Dou, Weihao; Jin, Xiufeng; Ji, Haishuo; Liu, Guangyuan; Luo, Jianxun; Yin, Hong; Shan, Gao (2018). "DNA segment of African Swine Fever Virus first detected in hard ticks from sheep and bovine". Systematic & Applied Acarology. 24 (1): 180–184. bioRxiv 10.1101/485060. doi:10.11158/saa.24.1.13. S2CID 91492025.
  78. "China bans imports of pigs from Indonesia due to African swine fever". Reuters. 30 December 2019. Retrieved 30 December 2019.
  79. "South Korea confirms second case of deadly African swine fever,..." Reuters. 18 September 2019. Retrieved 18 September 2019.
  80. 1 2 3 4 5 "FAO ASF situation update - African Swine Fever (ASF) - FAO Emergency Prevention System for Animal Health (EMPRES-AH)". www.fao.org. Retrieved 3 November 2019.
  81. "Taiwan halts exports of Kinmen pork products". Taipei Times. 9 June 2019. Retrieved 17 May 2020.
  82. 1 2 Wu Hsin-yun; Huang Huei-min; Ko Lin (18 April 2020). "Pig carcass found in Kinmen tests positive for ASF". Focus Taiwan. Retrieved 17 May 2020. To date, Kinmen has confirmed ASF in 12 pig carcasses that washed ashore.
  83. "ASF prevention measures strengthened in Kinmen". New Southbound Policy. 6 February 2020. Retrieved 17 May 2020.
  84. "Taiwan News Quick Take". Taipei Times. 20 April 2020. Retrieved 17 May 2020. To date, 12 pig carcasses that washed ashore in Kinmen have tested positive for swine fever.
  85. Patton, Dominique (29 May 2020). "China reports African swine fever outbreak in Gansu province". Reuters. Retrieved 1 June 2021.
  86. Matthew Strong (9 April 2019). "Dead pig floating off Taiwan island of Matsu diagnosed with African swine fever". Taiwan News. Retrieved 17 May 2020.
  87. 1 2 Yap, Cecilia; Jiao, Claire (9 September 2019). "Philippines Confirms African Swine Fever Caused Pig Deaths". Bloomberg. Retrieved 9 September 2019.
  88. "Philippines confirms 1st case of African swine fever". Xinhua. 9 September 2019. Archived from the original on 3 October 2019. Retrieved 9 September 2019.
  89. "Pork prices rise as virus reaches East Timor". pigprogress.net. 30 September 2019.
  90. "Sabah dead pigs linked to African swine fever". The Vibes. 20 February 2021. Retrieved 20 August 2021.
  91. "Mass wild boar deaths in eastern Sabah puzzle authorities". The Vibes. 4 February 2021. Retrieved 20 August 2021.
  92. Ammar Haziq (18 March 2021). "100 Borneo Bearded Pigs Found Dead in Sabah Due to Spread of African Swine Fever". Juice Online. Retrieved 20 August 2021.
  93. Ewers, Robert M.; Nathan, Senthilvel K. S. S.; Lee, Peter A. K. (4 May 2021). "African swine fever ravaging Borneo's wild pigs". Nature. 593 (7857): 37. Bibcode:2021Natur.593...37E. doi:10.1038/d41586-021-01189-3. PMID 33947991. S2CID 233744384.
  94. Feorino, P.; Schable, G.; Schochetman, G.; Jaffe, H.; Curran, J.; Witte, J.; Hess, W. (1986). "Aids and African Swine Fever Virus". The Lancet. 328 (8510): 815. doi:10.1016/S0140-6736(86)90339-9. PMID 2876270. S2CID 43207722.
This article is issued from Wikipedia. The text is licensed under Creative Commons - Attribution - Sharealike. Additional terms may apply for the media files.