Ehrlichiaceae
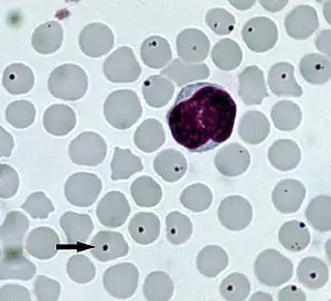
The rickettsial bacterium Anaplasma centrale infecting red blood cells of a cow. Arrow points to typical infected cell.
Scientific classification Edit this classification
Domain: Bacteria
Phylum: Pseudomonadota
Class: Alphaproteobacteria
Order: Rickettsiales
Family: Ehrlichiaceae
Moshkovski 1945 (Approved Lists 1980)
Genera[1]
  • Aegyptianella Carpano 1929 (Approved Lists 1980)
  • Anaplasma Theiler 1910 (Approved Lists 1980)
  • "Candidatus Cryptoplasma" Eshoo et al. 2015[2]
  • Ehrlichia Moshkovski 1945 (Approved Lists 1980)
  • Lyticum (ex Preer et al. 1974) Preer and Preer 1982
  • "Candidatus Neoehrlichia" Kawahara et al. 2004[3]
  • Neorickettsia Philip et al. 1953 (Approved Lists 1980)
  • "Paranaplasma" Kreier and Ristic 1963[4]
  • Wolbachia Hertig 1936 (Approved Lists 1980)
Synonyms[5]
  • Anaplasmataceae Philip 1957 (Approved Lists 1980)

The Ehrlichiaceae are a family of bacteria, included in the order Rickettsiales.[1]

References

  1. 1 2 Euzéby JP, Parte AC. "Ehrlichiaceae". List of Prokaryotic names with Standing in Nomenclature (LPSN). Retrieved June 1, 2021.
  2. Eshoo MW, Carolan HE, Massire C, Chou DM, Crowder CD, Rounds MA, Phillipson CA, Schutzer SE, Ecker DJ (2015). "Survey of Ixodes pacificus Ticks in California Reveals a Diversity of Microorganisms and a Novel and Widespread Anaplasmataceae Species". PLOS ONE. 10 (9): e0135828. Bibcode:2015PLoSO..1035828E. doi:10.1371/journal.pone.0135828. PMC 4574436. PMID 26375033.
  3. Kawahara M, Rikihisa Y, Isogai E, Takahashi M, Misumi H, Suto C, Shibata S, Zhang C, Tsuji M (2004). "Ultrastructure and phylogenetic analysis of "Candidatus Neoehrlichia mikurensis" in the family Anaplasmataceae, isolated from wild rats and found in Ixodes ovatus ticks". Int J Syst Evol Microbiol. 54 (Pt 5): 1837–1843. doi:10.1099/ijs.0.63260-0. PMID 15388752.
  4. Kreier JP, Ristic M (1963). "Anaplasmosis. XII. The growth and survival in deer and sheep of the parasites present in the blood of calves infected with the Oregon strain of Anaplasma marginale". Am J Vet Res. 24: 697–702. PMID 14035670.
  5. Hördt, Anton; López, Marina García; Meier-Kolthoff, Jan P.; Schleuning, Marcel; Weinhold, Lisa-Maria; Tindall, Brian J.; Gronow, Sabine; Kyrpides, Nikos C.; Woyke, Tanja; Göker, Markus (7 April 2020). "Analysis of 1,000+ Type-Strain Genomes Substantially Improves Taxonomic Classification of Alphaproteobacteria". Frontiers in Microbiology. 11: 468. doi:10.3389/fmicb.2020.00468. PMC 7179689. PMID 32373076.


This article is issued from Wikipedia. The text is licensed under Creative Commons - Attribution - Sharealike. Additional terms may apply for the media files.