| ACDC (medicine) | |
|---|---|
![]() | |
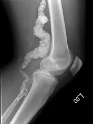
| A knee x-ray of a person with ACDC | |
| Specialty | Orthopedic |
Arterial calcification due to deficiency of CD73 (ACDC) is a rare genetic disorder that causes calcium buildup in the arteries and joints of the hands and feet, and other areas below the waist.[1] Although patients exhibiting these symptoms have been identified as early as 1914, this disorder had not been studied extensively until recently. The identification of the specific ACDC gene and mutations occurred in 2011. ACDC is caused by a mutation in the NT5E gene, which prevents calcium-removing agents from functioning,.[1][2] Patients with this mutation experience chronic pain, difficulty moving, and increased risk of cardiovascular problems.[1][2] In experiments at the molecular level, treatment with adenosine or a phosphatase inhibitor reversed and prevented calcification, suggesting they could be used as possible treatment methods.[1] There is currently no cure for ACDC, and patients have limited treatment options which focus primarily on removal of blood calcium and improving mobility.[1][2]
Cause
In ACDC, the gene NT5E, which produces the enzyme CD73, is mutated.[1] A mutation in NT5E causes CD73 to form incorrectly.[1] A nonsense mutation, a single nucleotide insertion, and a missense mutation have all been found to produce essentially the same inactivation of CD73.[1] Normally, CD73 binds to adenosine monophosphate, a nucleotide in DNA, and converts it to adenosine.[1][3][4] In affected patients, little to no CD73 was functional. The calcification of cells is caused in part by a lack of pyrophosphate, which is broken down throughout the body by tissue-nonspecific alkaline phosphatase (TNAP).[1][2] Without pyrophosphate, calcium phosphate crystals cannot be broken down. Since the inactive CD73 is unable to produce adenosine, which inhibits TNAP, there is an increase in TNAP levels and a decrease in pyrophosphate levels.[1][2]
Diagnosis
Treatment
The gene NT5E is related to the gene ENPP1, which when mutated is known to cause arterial calcification in infants.[5] Treatments for the ENPP1 mutation, such as bisphosphonates, which are non-hydrolysable pyrophosphate analogs, and adenosine reuptake inhibitors, provide possible routes of treatment for the NT5E mutation, as the mechanism of both disorders are very similar.
References
- 1 2 3 4 5 6 7 8 9 10 11 St Hilaire C.; Ziegler S. G.; Markello T. C.; Brusco A.; Groden C.; Gill F.; Boehm M. (2011). "NT5E mutations and arterial calcifications". New England Journal of Medicine. 364 (5): 432–442. doi:10.1056/NEJMoa0912923. PMC 3049958. PMID 21288095.
- 1 2 3 4 5 MacDougall, R. National Human Genome Research Institute, NIH Undiagnosed Diseases Program. (2011). NIH researchers identify genetic cause of new vascular disease. Retrieved from website: http://www.genome.gov/27543152
- ↑ Markello T. C.; Pak L. K.; St Hilaire C.; Dorward H.; Ziegler S. G.; Chen M. Y.; Gahl W. A. (2011). "Vascular pathology of medial arterial calcifications in NT5E deficiency: Implications for the role of adenosine in pseudoxanthoma elasticum". Molecular Genetics and Metabolism. 103 (1): 44–50. doi:10.1016/j.ymgme.2011.01.018. PMC 3081917. PMID 21371928.
- ↑ Rutsch F.; Nitschke Y.; Terkeltaub R. (2011). "Genetics in Arterial Calcification Pieces of a Puzzle and Cogs in a Wheel". Circulation Research. 109 (5): 578–592. doi:10.1161/circresaha.111.247965. PMC 3248761. PMID 21852556.
- ↑ Nitschke Y.; Baujat G.; Botschen U.; Wittkampf T.; du Moulin M.; Stella J.; Rutsch F. (2012). "Generalized Arterial Calcification of Infancy and Pseudoxanthoma Elasticum Can Be Caused by Mutations in Either ENPP1 or ABCC6". The American Journal of Human Genetics. 90 (1): 25–39. doi:10.1016/j.ajhg.2011.11.020. PMC 3257960. PMID 22209248.
This article incorporates public domain text from the National Institutes of Health. http://www.genome.gov/27543157
