
Akin osteotomy is a surgical procedure often used in the treatment of hallux valgus deformity, more commonly known as a bunion.[1] A bunion is a bony bump that forms on the joint at the base of the big toe, often resulting in the toe pointing abnormally toward the second toe. Akin osteotomy is usually performed in conjunction with other procedures (such as the Chevron procedure) to correct the alignment of the toe and relieve associated symptoms.[2] This procedure was first described by Akin in 1925.[2]
Indications
Akin osteotomy is indicated for patients with hallux valgus deformity, particularly when there is:[3]
- Angular deformity of the big toe
- Pain and discomfort associated with the bunion
- Difficulty fitting into shoes due to the deformity
- Failure of conservative treatment methods such as orthotics or footwear modifications
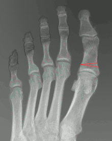
Operative procedure
The surgery is often performed under local anaesthesia. Through a small incision made on the medial side of the big toe, a wedge-shaped piece of the bone is removed from the proximal phalynx. The toe is then realigned to its correct position and secured using pins, screws or a plate.
References
- ↑ www.hmpgloballearningnetwork.com https://www.hmpgloballearningnetwork.com/site/podiatry/mastering-akin-osteotomy. Retrieved 1 November 2023.
{{cite web}}: Missing or empty|title=(help) - 1 2 Testa, Enrique Adrian; Porreca, Annamaria; Nasarre, Alberto Ruiz; Cano, Daniel Poggio; Goenaga, Fernando Alvarez; Ledermann, Gerardo; Baduell, Albert; Riquelme, Pablo Ruiz (1 April 2023). "The Akin osteotomy without fixation in open hallux abducto-valgo correction surgery – A single center retrospective analysis of 286 cases". Foot and Ankle Surgery. 29 (3): 200–207. doi:10.1016/j.fas.2023.01.002. ISSN 1268-7731. PMID 36646594. S2CID 255939913. Retrieved 1 November 2023.
- ↑ Arnold, Heino (December 2008). "[The Akin procedure as closing wedge osteotomy for the correction of a hallux valgus interphalangeus deformity]". Operative Orthopadie und Traumatologie. 20 (6): 477–483. doi:10.1007/s00064-008-1503-8. ISSN 0934-6694. PMID 19137394. Retrieved 1 November 2023.