| Central veins of liver | |
|---|---|
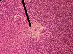
![]() A single lobule of the liver of a pig. X 60. (Central vein not labeled, though region is visible. Central vein would be a single vein at the center of the lobule.) | |
![]() human central vein | |
| Details | |
| Drains from | liver sinusoid |
| Drains to | hepatic veins |
| Identifiers | |
| Latin | venae centrales hepatis |
| TA98 | A05.8.01.059 |
| TA2 | 3065 |
| FMA | 71629 |
| Anatomical terminology | |
In microanatomy, the central veins of liver (or central venules)[1] are veins found at the center of hepatic lobules (one vein at each lobule center).
They receive the blood mixed in the liver sinusoids and return it to circulation via the hepatic veins.[2]
The circulation of venous blood is: portal vein (which is formed by the joining of the superior mesenteric vein with the splenic vein) drains into the sinusoids of the liver, these all drain into the central veins of liver which drain into the hepatic vein to be returned to IVC.
References
- ↑ Anatomy photo: digestive/mammal/liver3/liver2 - Comparative Organology at University of California, Davis
- ↑ "central veins of liver" at Dorland's Medical Dictionary
External links
- Histology image: 15505loa – Histology Learning System at Boston University
- Histology at okstate.edu
- Histology at ntu.edu.tw
- Diagrams at vanderbilt.edu
This article is issued from Wikipedia. The text is licensed under Creative Commons - Attribution - Sharealike. Additional terms may apply for the media files.

