| Dermatopathic lymphadenopathy | |
|---|---|
| Other names | Dermatopathic lymphadenitis |
![]() | |
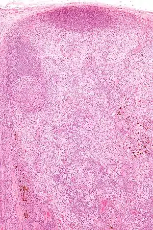
| Micrograph showing dermatopathic lymphadenopathy with the characteristic paracortical histiocytosis and melanin-laden macrophages. H&E stain. | |
| Specialty | Dermatology |
In pathology, dermatopathic lymphadenopathy, is lymph node pathology due to skin disease.
Cause
Also known as lipomelanotic reticulosis or Pautrier-Woringer disease, represents a rare form of benign lymphatic hyperplasia associated with most exfoliative or eczematoid inflammatory erythrodermas, including pemphigus, psoriasis, eczema, neurodermatitis, and atrophia senilis.
Diagnosis
Dermatopathic lymphadenopathy is diagnosed by a lymph node biopsy. It has a characteristic pattern of histomorphology and immunohistochemical staining:
- Paracortical histiocytosis
- Melanin-laden macrophages
- Eosinophils
- Plasma cells (medulla of lymph node)
Differential diagnosis
Treatment
The treatment is based on the underlying cause.
See also
References
External links
- Dermatopathic lymphadenitis - pathconsultddx.com.
This article is issued from Wikipedia. The text is licensed under Creative Commons - Attribution - Sharealike. Additional terms may apply for the media files.
