Hyperdontia
Other namesSupernumerary teeth, Mesiodens
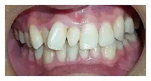
Intraoral photograph showing conical mesiodens
SpecialtyDentistry
Symptomssupernumerary teeth coming out from the gum or in the mouth
Complicationssupernumerary teeth growing into the gum
Types5
CausesGardner's syndrome

Ehlers-Danlos syndrome

Cleft palate

Cleidocranial dysplasia

Genetic disorder
Risk factorssupernumerary teeth causing problems in the dental arch
Differential diagnosisHypodontia
TreatmentDental surgery

Hyperdontia is the condition of having supernumerary teeth, or teeth that appear in addition to the regular number of teeth (32 in the average adult). They can appear in any area of the dental arch and can affect any dental organ. The opposite of hyperdontia is hypodontia, where there is a congenital lack of teeth, which is a condition seen more commonly than hyperdontia.[1] The scientific definition of hyperdontia is "any tooth or odontogenic structure that is formed from tooth germ in excess of usual number for any given region of the dental arch."[2] The additional teeth, which may be few or many, can occur on any place in the dental arch. Their arrangement may be symmetrical or non-symmetrical.

Signs and symptoms

The presence of a supernumerary tooth, particularly when seen in young children, is associated with a disturbance of the maxillary incisor region. This commonly results in the impaction of the incisors during the mixed dentition stage. The study debating this also considered many other factors such as: the patient's age, number, morphology, growth orientation and position of the supernumerary tooth. Alongside this issue, the presence of an extra tooth can impede the eruption of adjacent additional or normal teeth. Therefore, the presence of a supernumerary tooth when found must be approached with the appropriate treatment plan, incorporating the likelihood of incisal crowding.[3] In some individuals, the additional teeth can erupt far from the dental arch, within the maxillary sinus. The extra teeth may also migrate to a different location after development.[1] In some cases, supernumerary teeth can lead to the formation of cysts. Crowding is also frequently seen in people with hyperdontia.[2]

Causes

There is evidence of hereditary factors along with some evidence of environmental factors leading to this condition. While a single excess tooth is relatively common, multiple hyperdontia is rare in people with no other associated diseases or syndromes.[4] Many supernumerary teeth never erupt, but they may delay eruption of nearby teeth or cause other dental or orthodontic problems.[5][6] Molar-type extra teeth are the most common type. Dental X-rays are often used to diagnose hyperdontia.

It is suggested that supernumerary teeth develop from a third tooth bud arising from the dental lamina near the regular tooth bud or possibly from splitting the regular tooth bud itself. Supernumerary teeth in deciduous (baby) teeth are less common than in permanent teeth.

Hyperdontia is seen in a number of disorders, including Gardner's syndrome and cleidocranial dysostosis, where multiple supernumerary teeth develop.[7][8]

Other associated conditions are: Cleidocranial dysplasia, Ehlers–Danlos syndrome Type III, Ellis–van Creveld syndrome, Gardner's syndrome, Goldenhar syndrome, Hallermann–Streiff syndrome, Orofaciodigital syndrome type I, Incontinentia pigmenti, Marfan syndrome, Nance–Horan syndrome, and Tricho-rhino-phalangeal syndrome Type 1.

Diagnosis

X-ray showing supernumerary teeth in the premaxillary area

Supernumerary teeth may be detected by taking two different dental X-rays at different angles. Examples of this may be an intra-oral X-ray (one that is taken inside the mouth) and a panoramic radiograph. However, these X-rays are 2D and therefore do not accurately portray the 3D view of the teeth.[2]

Types

Dental stone model showing mesiodens and accessory tooth behind right central incisor

Supernumerary teeth can be classified by shape and by position. The shapes include the following:

  • Supplemental (where the tooth has a normal shape for the teeth in that series);
  • Tuberculate (also called barrel shaped);
  • Conical (also called peg shaped);
  • Compound odontoma (multiple small tooth-like forms);
  • Complex odontoma (a disorganized mass of dental tissue)[9]

When classified by position, a supernumerary tooth may be referred to as a mesiodens, a paramolar, or a distomolar.[9] Occasionally, these teeth do not erupt into the oral cavity but manifest as a malocclusion.[10]

The most common supernumerary tooth is a mesiodens, which is a malformed, peg-like tooth that occurs between the maxillary central incisors.

Fourth and fifth molars that form behind the third molars are another kind of supernumerary teeth.

Treatment

Although these teeth are usually asymptomatic and pose no threat to the individual, they are often extracted for aesthetic reasons, to allow the eruption of other teeth, orthodontic reasons and/or suspected pathology. This is done particularly if the mesiodens is positioned in the maxillary central incisor region. The traditional method of removal is done by using bone chisels, although a more advanced technique has been found to be more beneficial, especially if surgery is required. Through the use of piezoelectricity, piezoelectric ultrasonic bone surgery may be more time-consuming than the traditional method but it seems to reduce the post-operative bleeding and associated complications quite significantly.[11]

Epidemiology

It is evident that hyperdontia is more common in the permanent dentition than in the primary. There is a considerable difference between males and females in the prevalence of these teeth in permanent dentition; hyperdontia is twice as common in males as in females. However, this approximation varies in terms of location, other associating syndromes that may be present, and the ethnicity of the individual. In terms of ethnicity, it can be seen that hyperdontia is in fact less common in European than in Asian populations.[1] There is evidence to show that an individual is more likely to have hyperdontia if other members of their family also have the condition.[2]

Historical mentions

Timarchos (either son or father or father of Nicocles of Paphos is said to have had "a double row of cheek-teeth"

The daughter of Mithridates IV, Drypetina is said to have a double row of teeth

Agrippina the Younger sister of Caligula and wife of Claudius is said to have had a double canine in her right upper jaw wich something wich was seen as a sign of good fortune by the ancient Ronans.

The semi-mythological Emperor Ku is attributed with this.

One of the Great Peacemaker name is "Deganawidah" wich has been translated by some to mean "Double Row of Teeth"

Realdo Colombo, a 16th century physician mentioned in his writings that one of his sons, Phoebus , had "a treble row of teeth"[12]

Louis XIII had a double row of teeth in one of his jaws wich impacted his speech.

Fabian Fournier a 19th-century Canadian lumberjack (who is said to have inspired the American folklore figure Paul Bunyan )

Folklore and mythology

A poem by ancient Greek poet Ion describe the hero Heracles as having three rows of teeth.[13]

Len Linfhiaclach (lit. Len of the many teeth) a goldsmith who lived about the year 300 in is the subject of Gaelic text Dindseanchas

Witches in certain parts of Estonia is said to be able to be recognized by having unusual teeth including double rows of teeth giving rise to them being called hambamees (lit tooth-man) so as well can the Slavic upyr be recognized by its double rows of teeth.

References

  1. 1 2 3 Pathology of the Hard Dental Tissues
  2. 1 2 3 4 R. S. Omer, R. P. Anthonappa, and N. M. King, "Determination of the optimum time for surgical removal of unerupted anterior supernumerary teeth," Pediatric Dentistry, vol. 32, no. 1, pp. 14–20, 2010.
  3. He, Dongmei; Mei, Li; Wang, Yan; Li, Jialing; Li, Huang (2017). "Association between maxillary anterior supernumerary teeth and impacted incisors in mixed dentition". The Journal of the American Dental Association. 148 (8): 595–603. doi:10.1016/j.adaj.2017.05.017. PMID 28754185.
  4. Pereira, Marilia Nalon; De Almeida, Luiz Eduardo; Martins, Marcelo Tarcísio; Da Silva Campos, Marcio José; Fraga, Marcelo Reis; Vitral, Robert Willer Farinazzo (2011). "Multiple hyperdontia: Report of an unusual case". American Journal of Orthodontics and Dentofacial Orthopedics. 140 (4): 580–584. doi:10.1016/j.ajodo.2010.02.038. PMID 21967947.
  5. Vahid-Dastjerdi, Elaheh; Borzabadi-Farahani, Ali; Mahdian, Mina; Amini, Nazila (2010). "Supernumerary teeth amongst Iranian orthodontic patients. A retrospective radiographic and clinical survey". Acta Odontologica Scandinavica. 69 (2): 125–128. doi:10.3109/00016357.2010.539979. PMID 21142585.
  6. Fleming, P. S; Xavier, G. M; Dibiase, A. T; Cobourne, M. T (2010). "Revisiting the supernumerary: The epidemiological and molecular basis of extra teeth". BDJ. 208 (1): 25–30. doi:10.1038/sj.bdj.2009.1177. PMID 20057458.
  7. "Gardner syndrome – About the Disease – Genetic and Rare Diseases Information Center". rarediseases.info.nih.gov. Retrieved 2022-11-02.
  8. "Cleidocranial dysplasia – About the Disease – Genetic and Rare Diseases Information Center". rarediseases.info.nih.gov. Retrieved 2022-11-02.
  9. 1 2 Oxford Handbook of Clinical Dentistry
  10. Pediatric Gastrointestinal Disease: Pathophysiology, Diagnosis and Management, Volume 1
  11. Gao, Yongbo; Lin, Zhenyan; Rodella, Luigi Fabrizio; Buffoli, Barbara; Wu, Xifeng; Zhou, Yanmin (2014). "Piezoelectric ultrasonic bone surgery system in the extraction surgery of supernumerary teeth". Journal of Cranio-Maxillofacial Surgery. 42 (8): 1577–82. doi:10.1016/j.jcms.2014.04.007. PMID 24942094.
  12. Collins, Samuel (1685). A Systeme Of Anatomy, Treating Of the Body of Man, Beasts, Birds, Fish, Insects, and Plants: ... And After Every Part of Man's Body Hath Been Anatomically Described, Its Diseases, Cases, and Cures are Concisely Exhibited. Containing the Parts of the Lowest Apartiment of the Body of Man and other Animals, &c. Thomas Newcomb.
  13. Kanner, Leo (1968). Folklore of the Teeth. Singing Tree Press.
This article is issued from Wikipedia. The text is licensed under Creative Commons - Attribution - Sharealike. Additional terms may apply for the media files.