Irajatherium
Temporal range: Late Triassic
~
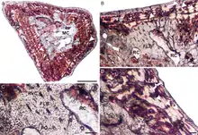
Humeral osteohistology of I. hernandezi[1]
Scientific classification Edit this classification
Domain: Eukaryota
Kingdom: Animalia
Phylum: Chordata
Clade: Synapsida
Clade: Therapsida
Clade: Cynodontia
Family: Tritheledontidae
Genus: Irajatherium
Bonaparte 2005
Type species
Irajatherium hernandezi
Species

Irajatherium is an extinct genus of cynodonts, known only of the type species Irajatherium hernandezi.[2] It is named in honor of Irajá Damiani Pinto.

Species

Irajatherium hernandezi is a species known only by a humerus, a femur, two jaws and an upper arch incomplete, has the upper canine teeth after pills across and the post-mandibular canines with a more developed central cusp, followed by three smaller ones. It was collected in the Candelária Formation in the municipality of Faxinal do Soturno in the Paraná Basin of southeastern Brazil.[3]

References

  1. Botha-Brink, 2018, p.11
  2. Martinelli et al., 2005
  3. Revista Ciência Hoje Archived 2010-10-10 at the Wayback Machine

Bibliography

This article is issued from Wikipedia. The text is licensed under Creative Commons - Attribution - Sharealike. Additional terms may apply for the media files.