
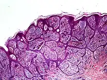
Nevoid melanoma
Nevoid melanoma is a cutaneous condition that may resemble a Spitz nevus or an acquired or congenital melanocytic nevus.[1]
See also
References
This article is issued from Wikipedia. The text is licensed under Creative Commons - Attribution - Sharealike. Additional terms may apply for the media files.