| Papilloma | |
|---|---|
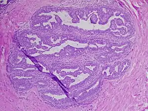
![]() | |
| Intraductal papilloma of breast, H&E, 10x | |
| Specialty | Oncology |
A papilloma (plural papillomas or papillomata) (papillo- + -oma) is a benign epithelial tumor[1] growing exophytically (outwardly projecting) in nipple-like and often finger-like fronds. In this context, papilla refers to the projection created by the tumor, not a tumor on an already existing papilla (such as the nipple).
When used without context, it frequently refers to infections (squamous cell papilloma) caused by human papillomavirus (HPV), such as warts. Human papillomavirus infection is a major cause of cervical cancer, vulvar cancer, vaginal cancer, penis cancer, anal cancer, and HPV-positive oropharyngeal cancers.[2][3][4][5][6] Most viral warts are caused by human papillomavirus infection (HPV),[7] of which there are nearly 200 distinct human papillomaviruses (HPVs),[4] and many HPV types are carcinogenic.[2][3] There are, however, a number of other conditions that cause papilloma, as well as many cases in which there is no known cause.
Signs and symptoms


A benign papillomatous tumor is derived from epithelium, with cauliflower-like projections that arise from the mucosal surface. It may appear white or normal colored. It may be pedunculated or sessile. The average size is between 1–5 cm. Neither sex is significantly more likely to develop them. The most common site is the palate-uvula area followed by tongue and lips. Durations range from weeks to 10 years.
Presence of HPV
Immunoperoxidase stains have identified antigens of the human papillomavirus (HPV) types 6 and 11 in approximately 50% of cases of squamous cell papilloma.
Prognosis
There is no evidence that papillomas are premalignant.
Differential diagnosis
- Intraoral verruca vulgaris,
- Condyloma acuminatum, and
- Focal epithelial hyperplasia.
Note: differentiation is done accurately by microscopic examination only.
Treatment
With conservative surgical excision, recurrence is rare.
See also
References
- ↑ "papilloma" at Dorland's Medical Dictionary
- 1 2 Muñoz N, Bosch FX, de Sanjosé S, Herrero R, Castellsagué X, Shah KV, et al. (International Agency for Research on Cancer Multicenter Cervical Cancer Study Group) (February 2003). "Epidemiologic classification of human papillomavirus types associated with cervical cancer". The New England Journal of Medicine. 348 (6): 518–527. doi:10.1056/NEJMoa021641. hdl:2445/122831. PMID 12571259. S2CID 1451343.
- 1 2 Parkin DM (June 2006). "The global health burden of infection-associated cancers in the year 2002". International Journal of Cancer. 118 (12): 3030–3044. doi:10.1002/ijc.21731. PMID 16404738. S2CID 10042384.
- 1 2 Ljubojevic S, Skerlev M (2014). "HPV-associated diseases". Clinics in Dermatology. 32 (2): 227–234. doi:10.1016/j.clindermatol.2013.08.007. PMID 24559558. S2CID 24219797.
- ↑ "Human papillomavirus (HPV) and cervical cancer". WHO. June 2016. Archived from the original on 5 August 2016.
- ↑ Anjum F, Zohaib J (4 December 2020). "Oropharyngeal Squamous Cell Carcinoma". Definitions (Updated ed.). Treasure Island (FL): StatPearls Publishing. doi:10.32388/G6TG1L. PMID 33085415. S2CID 229252540. Bookshelf ID: NBK563268. Retrieved 7 February 2021 – via NCBI.
{{cite book}}:|work=ignored (help) - ↑ "Warts: Overview" (Updated ed.). U.S. National Library of Medicine. 7 November 2019 [30 July 2014]. Archived from the original on 10 September 2017. Retrieved 7 February 2021.
{{cite journal}}: Cite journal requires|journal=(help)
External links
- Choroid Plexus Papilloma - Palmer, Cheryl Ann and Daniel Keith Harrison; EMedicine; Jun 5, 2008
