| Polyembryoma | |
|---|---|
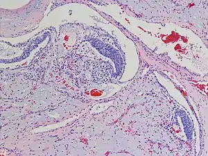
![]() | |
| Polyembryoma of the ovary, H&E stain | |
| Specialty | Oncology, gynecology |
Polyembryoma is a rare, very aggressive form of germ cell tumor usually found in the ovaries. Polyembryoma has features of both yolk sac tumour and undifferentiated teratoma/embryonal carcinoma, with a characteristic finding of embryoid bodies lying in a loose mesenchymal stroma.
It has been found in association with Klinefelter syndrome.[1]
References
- ↑ Beresford L, Fernandez CV, Cummings E, Sanderson S, Ming-Yu W, Giacomantonio M (April 2003). "Mediastinal polyembryoma associated with Klinefelter syndrome". Journal of Pediatric Hematology/Oncology. 25 (4): 321–323. doi:10.1097/00043426-200304000-00011. PMID 12679648.
External links
This article is issued from Wikipedia. The text is licensed under Creative Commons - Attribution - Sharealike. Additional terms may apply for the media files.
