| Sarcina | |
|---|---|
![]() | |
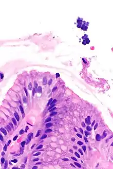
| Gastric mucosa and Sarcina on upper right. H&E stain. | |
| Scientific classification | |
| Domain: | |
| Phylum: | |
| Class: | |
| Order: | |
| Family: | |
| Genus: | Sarcina |
| Type species | |
| Sarcina ventriculi Goodsir, 1842[1] | |
Sarcina is a genus of Gram-positive cocci bacteria in the family Clostridiaceae.[2][3][4] A synthesizer of microbial cellulose,[5] various members of the genus are human flora and may be found in the skin [6] and large intestine.[7] The genus takes its name from the Latin word "sarcina," meaning pack or bundle, after the cuboidal (2x2x2) cellular associations they form during division along three planes.[8]
The genus's type species is Sarcina ventriculi, a variety found on the surface of cereal seeds, in soil, mud, and in the stomachs of humans, rabbits, and guinea pigs.[9]
Species
- Sarcina aurantiaca
- Sarcina maxima has been reclassified to Clostridium maximum
- Sarcina ventriculi, also known as Clostridium ventriculi
- Sarcina lutea has been reclassified to Micrococcus luteus
- Sarcina troglodytae is a chimpanzee pathogen
References
- 1 2 Euzéby, J.P. "Sarcina". List of Prokaryotic Names with Standing in Nomenclature. Retrieved 31 March 2010.
- ↑ "Sarcina". Random House Dictionary of the English Language. Random House. 2010. Retrieved 30 March 2010.
- ↑ "Result of detail taxonomy information". TXSearch Taxonomy Retrieval. DNA Data Bank of Japan. 19 February 2010. Archived from the original on 22 July 2011. Retrieved 30 March 2010.
- ↑ "Sarcina aurantiaca". Zipcode Zoo. Retrieved 30 March 2010.
- ↑ P. Ross, R. Mayer, and M. Benziman (1991) "Cellulose biosynthesis and function in bacteria," Microbiol Mol Biol Rev, vol. 55, no. 1, pp. 35-58, Mar.
- ↑ HOLT, R. J. (29 July 2006). "The Esterase and Lipase Activity of Aerobic Skin Bacteria". British Journal of Dermatology. 85 (1): 18–23. doi:10.1111/j.1365-2133.1971.tb07172.x. PMID 5557829. S2CID 28833614.
- ↑ Crowther, J. S. (1 August 1971). "Sarcina Ventriculi In Human Faeces". Journal of Medical Microbiology. 4 (3): 343–350. doi:10.1099/00222615-4-3-343. PMID 5116255.
- ↑ Michael J. Leboffe & Burton E. Pierce. A Photographic Atlas for the Microbiology Laboratory (4 ed.). p. 39.
- ↑ "Sarcina ventriculi". Stedman's Medical Spellchecker. Lippincott Williams & Wilkins. 2006. Retrieved 31 March 2010.
This article is issued from Wikipedia. The text is licensed under Creative Commons - Attribution - Sharealike. Additional terms may apply for the media files.
